Osteoartrit – Kireçlenme nedir?
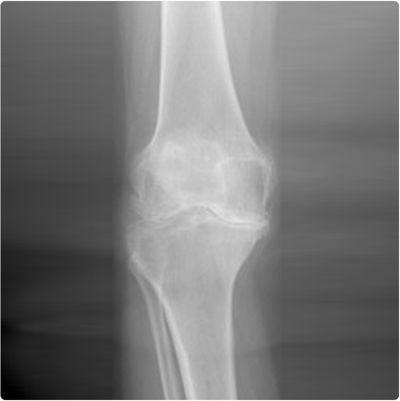
Halk arasında kireçlenme olarak bilinen hastalık eklemlerde oluşan ve kıkırdak kaybıyla seyreden bir durumdur. Aslında eklemde kireç-kalsiyum birikimi yoktur, röntgende aşınan kıkırdağın altındaki kemik dokusunun sertleşmesine bağlı olarak normalden daha beyaz görülmesi nedeniyle bu isim verilmiştir.
 
Eklem kıkırdağının aşınması ve kaybı yükün kemik tarafından daha fazla taşınmasına neden olur. Osteoartritte kıkırdak kaybı ile birlikte eklem sıvısı üreten zar (sinovyal doku) da hastalığa katılır. Kıkırdak yüzeyin kayganlaşmasını sağlayan sıvılar daha az üretilmeye başlanır. İlerledikçe vücudun hastalığı düzeltme çabasıyla eklem çevresi bağ ve kaslarda değişiklikler başlar, eklemin özellikle kenar bölgelerinde yükü paylaştırma çabasıyla kemik çıkıntıları (osteofitler) oluşur. Tüm bu bozukluklar ve düzeltme çabası hastada şikayetlere neden olur. Bu hastalık ileri yaşlarda ortaya çıkmaya başlar ve ilerlediğinde ağrı, hareket kısıtlılığı, eklemde şekil bozukluğuna sebep olur. Özellikle diz, kalça, ayak bileği, omuz, bel omurları gibi büyük eklemlerde görülse de parmak eklemleri gibi küçük eklemlerde de sıkça görülebilmektedir.
Osteoartritin sebepleri nelerdir?

Osteoartrite neden olan birçok etken bilinmekle birlikte en sık görülen şekli, nedeni bilinmeyen osteoartrittir. Genetik etkenler, eklemi veya çevresini ilgilendiren geçirilmiş kırıklar, romatizmal hastalıklar (romatoid artrit gibi), eklemin aşırı yüklenmesi, aşırı kilo, spor yaralanmaları, bazı mesleki aktiviteler osteoartrite doğrudan sebep olabileceği gibi gelişmesini hızlandırarak da etki gösterebilirler.

Osteoartritte ne gibi şikayetler olur?

En önemli bulgu ağrıdır. Eklem ağrısıyla birlikte genellikle sertlik, hareket azalması veya hareket sırasında artan ağrı söz konusudur. Hastalık ilerledikçe eklem hareketlerinde kayıp belirginleşir, ağrı artar ve eklemde şekil bozukluğu ortaya çıkar ve örneğin diz eklemi eğilmeye başlar. Hastalığın olduğu vücut bölümünü kullanmak zor hale gelir, örneğin kalça veya dizde ilerlemiş osteoartrit varlığında yürüme işlevi giderek zorlaşır.

Osteoartritten korunmak mümkün müdür?

Osteoartrit gelişimini tam olarak ortadan kaldırmak mümkün değilse de bazı önlemler yine de alınabilir. Düzenli ve kontrollü spor, egzersiz, eklemlerin aşırı yüklenmesinden kaçınmak etkilidir. Ancak belki de gelişimini hızlandırmayı önlemenin en iyi yolu kilo almamak veya fazla kiloloarın verilmesidir. Ekleme binen yükleri azaltmak için alınabilecek en iyi önlem kilo kontrolüdür.

Osteoartritin tedavisi var mıdır?

Aslında kıkırdaktaki aşınmayı tam olarak yerine getirecek bir tedavi yoktur. Tedaviler şikayetleri azaltmaya yöneliktir. Bu amaçla ağrı kesici ilaçlar, egzersiz, fizik tedavi, eklem içine yapılan ilaçlar uygulanabilir. Tüm bunlarla yanıt alınamadığı durumlarda ise ameliyatlı tedaviler söz konusudur.

Ameliyatlar nelerdir?

Osteoartrite bağlı yakınmalar hastanın günlük yaşam etkinliklerini olumsuz etkilediğinde ve ameliyatsız tedavilerle düzelme olmadığında bazı cerrahi seçenekler söz konusudur.
Çok ilerlememiş osteoartritte, örneğin diz ekleminde mekanik yakınmalara yol açan sorunlar varsa (menisküs yırtığı, eklem faresi denilen serbest kıkırdak parçaları, eklem zarının büyümesi gibi) artroskopik –kapalı yöntemle eklem temizliği yapılabilir. Bu yöntem kıkırdak aşınmasını tamamen ortadan kaldıran bir yöntem değil yakınmaları rahatlatmaya yönelik bir tedavidir. İlerlemiş osteoartrit varlığında bu yöntemin etkinliği yoktur.
Yine çok ilerlememiş osteoartrit varlığında ekleme binen yük dengesi bozulduğunda eklemin normal mekaniğini sağlamak amacıyla kemik düzeltme ameliyatları yapılabilir. Böylece ekleme binen yük dağılımı dengelenerek hastalığın ilerlemesi azaltılmış olur.
Eklemin bir bölgesinde aşınma varlığında, belli koşullar altında kısmi-parsiyel protezler yapılabilir. Daha küçük kesi ile yapılan bu protezler uygun hasta seçimiyle oldukça iyi sonuçlara sahiptir.
İlerlemiş osteoartrit varlığında ise tam total diz protezi yapılır. Günümüzde total diz protezleri sonuçları oldukça iyi düzeydedir. Diz protezleri ile ilgili bilgilere diz protezi, kısmi (parsiyel) diz protezi, kişiselleştirilmiş diz protezi ve robot yardımlı diz protezi başlıklarından ulaşabilirsiniz.